Loading...
Loading...
Loading...
Opening Hours: Mon - Sat : 9:00 am - 9:00 pm, Sunday : 9:00 am - 5:00 pm
Call Now

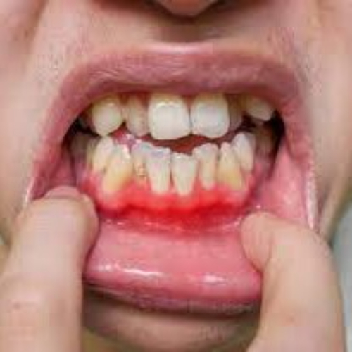
Periodontal Treatments

Home Periodontal Treatments
Periodontal Treatments

Protect Your Gums and Smile with Expert Periodontal Care at Apollo Dental, Sahakarnagar

Advanced treatment solutions to combat gum disease and maintain excellent oral health.

At Apollo Dental, Sahakarnagar, we specialize in comprehensive periodontal treatments designed to prevent, manage, and reverse gum disease. Our experienced periodontists provide thorough evaluations and personalized treatment plans for conditions such as gingivitis and periodontitis. We use modern techniques like scaling and root planing, laser therapy, and advanced surgical procedures to restore gum health and protect the supporting structures of your teeth. Trust Apollo Dental for expert periodontal care that keeps your gums healthy and your smile beautiful for years to come.

advanced periodontitis treatment in sahakara nagar, periodontal therapy cost, periodontal treatments in sahakara nagar
Other Services

Healthy gums are the foundation of a healthy smile, and at Apollo Dental, we’re committed to protecting your periodontal health. We offer expert periodontal treatments in sahakara nagar to help patients combat gum disease and maintain excellent oral hygiene.

Many patients visit us seeking advanced periodontitis treatment in sahakara nagar when they experience symptoms like swollen gums, bleeding while brushing, persistent bad breath, gum recession, or loose teeth. Left untreated, gum disease can lead to bone loss and even tooth loss. Our experienced periodontists specialize in diagnosing and treating all stages of gum disease, from mild gingivitis to severe periodontitis.

At Apollo Dental, we use modern techniques and advanced technologies to provide safe, effective, and minimally invasive gum care. Our periodontal treatments in sahakara nagar include deep cleaning procedures like scaling and root planing, laser periodontal therapy, guided tissue regeneration, and other specialized treatments to restore your gum health and protect your teeth.

Many patients are concerned about the periodontal therapy cost. The cost can vary depending on the severity of your gum condition, the type of treatment required, and how many visits are needed. At Apollo Dental, we believe that high-quality periodontal care should be accessible to everyone. We offer transparent pricing, flexible payment options, and personalized treatment plans to fit your budget and ensure you receive the care you need.

Choosing Apollo Dental means partnering with a team experienced in advanced periodontitis treatment in sahakara nagar. We’re committed to preserving your natural teeth, enhancing your oral health, and giving you the confidence to smile again.

Don’t let gum problems jeopardize your dental health. Schedule your consultation today to learn how periodontal treatments in sahakara nagar can help you achieve a healthier, stronger smile.

Call us at +91 9845055386 or visit www.apollodentalsahakarnagar.com to book your appointment and learn more about advanced periodontitis treatment in sahakara nagar and all our specialized periodontal services.

At Apollo Dental Clinic in Sahakara Nagar, Bangalore, we proudly serve patients not only from Sahakara Nagar but also from nearby areas such as Allasandra, Amruthahalli, Ananthpur Gate, Attur Layout, Bhadrappa Layout, Bhoopasandra, BSF Campus Yelahanka, Byatarayanapura, Dasarahalli Kempapura, Dasarahalli Peenya, Devi Nagar, Doddabettahalli, Dr. Shivaram Karanth Nagar, Hebbal, Jakkur, Judicial Layout, Kempapura, Kodigehalli, Kogilu, Manayata Tech Park, NTI Layout 2nd Phase Vidyaranyapura, Puttenahalli, R K Hegde Nagar, Ramamurthy Nagar, Singasandra, TATA Nagar, Telecom Layout, Thanisandra Main Road, Tindlu, Vidyaranyapura, Virupakshapura, and Yelahanka New Town.

If you are looking for periodontal treatments in Sahakara Nagar, Apollo Dental Clinic offers advanced care for individuals and families across these locations. Our clinic is conveniently located to make high-quality dental care easily accessible for residents in and around North Bangalore.

About Us

At Apollo Dental in Sahakar Nagar, Bangalore, we hold ourselves to the highest standards of dental care. As a part of India’s leading healthcare group, Apollo Hospitals, we envision a transformation in dental healthcare that takes us to a world-class level.

Our Location

Contact Info

26, 1st Floor, G' Block, 60 Feet Rd, next to Big Market, Sahakar Nagar, Byatarayanapura, Bengaluru, Karnataka 560092

+91 9845055386

080 41500111

18002020507

info@apollodentalsahakarnagar.com

Follow Us

Website Visits

© 2025 Apollo Dental Hospital Sahakar Nagar. All Rights Reserved. | Web Design Development and Digital Marketing by DIGITAL ADWORKS

Popup Enquiry